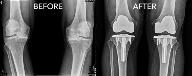
ORTHOPAEDICS & JOINT REPLACEMENT

    The department is headed by Dr. Rajinder Rajan (M.S, M.ch Orthopaedics) who is working as Consultant Orthopaedician in Amritsar and around, for the last more than 15 years. He is having experience of about 2000 Hip and Joint replacements. He is expert in managing Trauma patients. He is giving 24 x 7 availability in hospital to manage emergencies. The Corporate Hospital team is committed for managing your care and following your program carefully.

Mission & Vision

Mission and Vision of The Corporate Hospital as a Health Care Provider - To provide excellent health services and patient care facilities to each and every patient.

Read More

News & Events

We aim to keep you up to date by providing information regarding News and Events of our Hospital so that we can provide invaluable help to our patients.

Read More

Insurance Coverage

We are empanelled with Government and Non Government Organizations, Insurance Companies and TPAs to provide Cashless Facilities to the patients.

Read More

For Birth / Death Enquiry !!      Contact Us at      +91-183-5023923 / 5024923